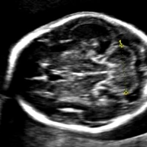
Fetal Neurosonogram A specialist examination of the fetal brain is recommended in cases of: suspected fetal intracranial abnormalityprevious baby with intracranial abnormality